您所在的位置:首页 > 现货产品 > 一抗

Anti-ABCB6(ATP结合蛋白家族6抗体)

Rabbit Anti-ABCB6

/英文名称:

ATP结合蛋白家族6抗体/ Anti-ABCB6

别名:

ABC; ABC14; EST45597; ABC 14; ABC-14; ABCB 6;   ABCB-6; PRP; UMAT; ABC transporter umat; MTABC3; Mt-ABC transporter 3; umat; Mitochondrial   precursor; Mitochondrial ABC transporter 3; Mitochondrial abc protein 3;   ATP-binding cassette, sub-family B, member 6, mitochondrial precursor; ATP   binding cassette, sub family B (MDR/TAP), member 6; P glycoprotein related   protein; Abcb6; ABCB6_HUMAN; ATP binding cassette sub family B member 6,   mitochondrial precursor; ATP-binding cassette sub-family B member 6;   Mitochondrial ABC transporter 3; mitochondrial; Mt ABC transporter 3;   P-glycoprotein-related protein; Ubiquitously-expressed mammalian ABC half   transporter; UMAT; Ubiquitously expressed mammalian ABC half transporter.

产品编号:

zy10007

规格:

0.1ml   0.2ml

抗体来源:

Rabbit

    度:

1mg/ml

缓冲液:

0.01M PBS, pH 7.4 with 10 mg/ml BSA and 0.1%   Sodium azideReconstitute with 0.1ml sterile distilled water.

克隆类型:

Polyclonal

 型:

IgG

  原:

KLH conjugated synthetic peptide derived from   human ABCB6

交叉反应:

Human, Mouse, Rat, Dog, Pig, Cow, Horse, Guinea   Pig

状态:

Lyophilized or Liquid

  量:

Predicted molecular weight 94kDa

纯化方法:

affinity purified by Protein A

 

运输与储存

运输:

The product is shipped at ambient temperature.   Upon receipt, store it immediately at the temperature recommended below.

储存:

Use a manual defrost freezer and avoid repeated   freezethaw cycles.

1 month from date of receipt, 2 to 8, reconstituted.

6 months from date of receipt, -20 to -70, reconstituted.

12 months from date of receipt, -20 to -70as supplied.

When reconstituted in sterile pH 7.4 0.01M PBS or   diluent of antibody the antibody is stable for at least two weeks at 2-4 °C.

 

产品应用

应用:

WB=1:100-500 ELISA=1:500-1000 IP=1:20-100   IHC-P=1:100-500 IHC-F=1:100-500 IF=1:100-500
  Not yet tested in other applications.
  Optimal working dilutions must be determined by the end user.

背景:

The membrane-associated protein encoded by this   gene is a member of the superfamily of ATP-binding cassette (ABC)   transporters. ABC proteins transport various molecules across extra- and   intra-cellular membranes. ABC genes are divided into seven distinct subfamilies   (ABC1, MDR/TAP, MRP, ALD, OABP, GCN20, White). This protein is a member of   the MDR/TAP subfamily. Members of the MDR/TAP subfamily are involved in   multidrug resistance as well as antigen presentation. This half-transporter   likely plays a role in mitochondrial function. Localized to 2q26, this gene   is considered a candidate gene for lethal neonatal metabolic syndrome, a   disorder of mitochondrial function.

其他:

Function:

Binds heme and porphyrins and functions in their   ATP-dependent uptake into the mitochondria. Plays a crucial role in heme   synthesis

Subunit:

Homodimer.

Subcellular   Location:

Cell membrane. Mitochondrion outer membrane;   Multi-pass membrane protein. Endoplasmic reticulum. Golgi apparatus.

Tissue   Specificity:

Widely expressed. High e­xpression is detected in   the retinal epithelium.

DISEASE:

Microphthalmia, isolated, with coloboma, 7   (MCOPCB7) [MIM:614497]: A disorder of eye formation, ranging from small size   of a single eye to complete bilateral absence of ocular tissues. Ocular abnormalities   like opacities of the cornea and lens, scaring of the retina and choroid,   cataract and other abnormalities like cataract may also be present. Ocular   colobomas are a set of malformations resulting from abnormal morphogenesis of   the optic cup and stalk, and the fusion of the fetal fissure (optic fissure).   Note=The disease is caused by mutations affecting the gene represented in   this entry.

Similarity:

Belongs to the ABC transporter superfamily. ABCB   family. Heavy Metal importer (TC 3.A.1.210) subfamily.

Contains 1 ABC transmembrane type-1 domain.

Contains 1 ABC transporter domain.

Gene   ID: 10058

ABCB6蛋白对于红细胞携带氧,肝细胞破坏毒素以及细胞从摄取营养物质后排放能量方面发挥重要的作用。

Antigen:0.2ug/100ul

Primary: Antiserum, 1:500,   1:1000, 1:2000, 1:4000, 1:8000, 1:16000, 1:32000;

Secondary: HRP conjugated   Goat-Anti-Rabbit IgG at 1: 5000;

TMB staining;

Read the data in   MicroplateReader by 450nm.

 

 

blob.png

 

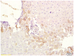
Tissue/cell: rat liver   tissue; 4% Paraformaldehyde-fixed and paraffin-embedded;

Antigen retrieval: citrate   buffer ( 0.01M, pH 6.0 ), Boiling bathing for 15min; Block endogenous   peroxidase by 3% Hydrogen peroxide for 30min; Blocking buffer (normal goat   serum) at 37 for 20 min;

Incubation: Anti-ABCB6   Polyclonal Antibody, Unconjugated 1:200, overnight at 4°C, followed by   conjugation to the secondary antibody and DAB  staining

blob.png