您所在的位置:首页 > 现货产品 > 一抗

Anti-AATF拮抗凋亡转录因子抗体

Rabbit Anti-AATF

/英文名称:

拮抗凋亡转录因子抗体/ Anti-AATF

别名:

Apoptosis antagonizing transcription factor;   CHE1; DED; AATF; AATF_HUMAN; Apoptosis-antagonizing transcription factor;   Rb-binding protein Che-1; Protein AATF;Rb binding protein Che 1.

产品编号:

zy10006

规格:

0.1ml、0.2ml

抗体来源:

Rabbit

    度:

1mg/ml

缓冲液:

0.01M PBS, pH 7.4 with 10 mg/ml BSA and 0.1%   Sodium azideReconstitute with 0.1ml sterile distilled water.

克隆类型:

Polyclonal

 型:

IgG

  原:

KLH conjugated synthetic peptide derived from   human AATF

交叉反应:

Human, Mouse, Rat, Pig, Cow, Horse, Rabbit,   Guinea Pig

状态:

Lyophilized or Liquid

  量:

Predicted molecular weight 63kDa

纯化方法:

affinity purified by Protein A

 

运输与储存

运输:

The product is shipped at ambient temperature.   Upon receipt, store it immediately at the temperature recommended below.

储存:

Use a manual defrost freezer and avoid repeated   freezethaw cycles.

1 month from date of receipt, 2 to 8, reconstituted.

6 months from date of receipt, -20 to -70, reconstituted.

12 months from date of receipt, -20 to -70as supplied.

When reconstituted in sterile pH 7.4 0.01M PBS or   diluent of antibody the antibody is stable for at least two weeks at 2-4 °C.

 

产品应用

应用:

WB=1:100-500 ELISA=1:500-1000 IP=1:20-100   IHC-P=1:100-500 IHC-F=1:100-500 IF=1:100-500
  Not yet tested in other applications.
  Optimal working dilutions must be determined by the end user.

背景:

The protein encoded by this gene was identified   on the basis of its interaction with MAP3K12/DLK, a protein kinase known to   be involved in the induction of cell apoptosis. This gene product contains a   leucine zipper, which is a characteristic motif of transcription factors, and   was shown to exhibit strong transactivation activity when fused to Gal4 DNA   binding domain. Overexpression of this gene interfered with MAP3K12 induced   apoptosis.

其他:

Function:

May function as a general inhibitor of the   histone deacetylase HDAC1. Binding to the pocket region of RB1 may displace HDAC1   from RB1/E2F complexes, leading to activation of E2F target genes and cell   cycle progression. Conversely, displacement of HDAC1 from SP1 bound to the   CDKN1A promoter leads to increased expression of this CDK inhibitor and   blocks cell cycle progression. Also antagonizes PAWR mediated induction of   aberrant amyloid peptide production in Alzheimer disease (presenile and   senile dementia), although the molecular basis for this phenomenon has not   been described to date.

Subunit:

Binds PAWR, POLR2J, RB1/RB, RBL1/P107, RBL2/P130,   and SP1. May also bind MAPT.

Subcellular   Location:

Nucleus, nucleolus.

Tissue   Specificity:

Ubiquitously expressed. Expressed at high levels   in brain, heart, kidney, placenta and thymus.

Post-translational modifications:

Hyperphosphorylated during the G1/S phase   transition.

Similarity:

Belongs to the AATF family.

Gene   ID:26574

AATF属于细胞凋亡的拮抗转录因子,有抑制细胞凋亡的发展过程。

blob.png

Antigen, 0.2ug/100ul

Primary: Antiserum, 1:500,   1:1000, 1:2000, 1:4000, 1:8000, 1:16000, 1:32000;

Secondary: HRP conjugated   Goat Anti-Rabbit IgG  at 1: 5000;

TMB(C-0024) staining;

Read the data in   MicroplateReader by 450nm.

 

 

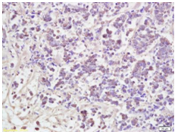
Tissue/cell: human lung   carcinoma; 4% Paraformaldehyde-fixed and paraffin-embedded;

blob.pngAntigen retrieval: citrate   buffer ( 0.01M, pH 6.0 ), Boiling bathing for 15min; Block endogenous   peroxidase by 3% Hydrogen peroxide for 30min; Blocking buffer (normal goat   serum,C-0005) at 37 for 20 min;

Incubation: Anti-AATF   Polyclonal Antibody, Unconjugated 1:200, overnight at 4°C, followed by   conjugation to the secondary antibody(SP-0023) and DAB(C-0010) staining

blob.png

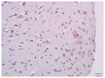
Tissue/cell: rat brain tissue; 4%   Paraformaldehyde-fixed and paraffin-embedded;

Antigen retrieval: citrate buffer ( 0.01M, pH   6.0 ), Boiling bathing for 15min; Block endogenous peroxidase by 3% Hydrogen   peroxide for 30min; Blocking buffer (normal goat serum,C-0005) at 37 for 20   min;

Incubation: Anti-AATF Polyclonal Antibody,   Unconjugated 1:200, overnight at 4°C, followed by conjugation to the   secondary antibody(SP-0023) and DAB(C-0010) stainin